软下疳是由杜克雷嗜血杆菌感染引起,主要发生于生殖器部位多个痛性溃疡,多伴有腹股沟淋巴结化脓性病变的一种性传播疾病。本病由性交传染,临床上男性多于女性患者,在我国比较少见。是由杜克雷嗜血杆菌感染而引起的一种性传播疾病。根据发病前的性接触史,尤其是不洁性交史,典型的临床表现和经过较短的潜伏期后发生软而扁的丘疹、脓疱、溃疡,单侧性的化脓性淋巴结炎,直接镜检和培养检出杜克雷嗜血杆菌,PCR检测杜克雷嗜血杆菌DNA,即可作出诊断。

概述
软下疳是自1852年法国医学家Brassean氏,从一期梅毒(硬下疳)中分离出来另一种主要的性病。在19世纪以前人们把梅毒与软性下疳混为一谈。直到1889年,意大利皮肤病学家杜克雷从3例患有生殖器溃疡的病人患部取脓性分泌物,接种到自己身上,并形成了溃疡。他在自身患部排出的脓性分泌物中发现一种微生物,这种微生物特别喜欢在含有新鲜的人血或兔血的培养基上生长,所以被称之为杜克雷氏嗜血杆菌。就是以后证实的软性下疳致病菌。女性可以是不发病的带菌者,男性比较容易患病。主要为直接性接触传染(被污染物可以传染)。
病原学
杜克雷氏嗜血杆菌是一种革兰氏阴性、无芽孢杆菌、需氧性,对二氧化碳亲和性强。人工培养必须供给新鲜血液才能生长,故称嗜血杆菌。大小为0.5×1.5~2.0μm,短杆菌,两端呈钝圆形,在溃疡面脓液中的菌体为链锁状、双球菌状、大球菌、棒状等多形性。从病灶中或培养菌落中取材检查可见2个或2个以上细菌连成锁状有如鱼群在游泳,故称鱼群状。在淋巴腺组织切片中可见典型的连锁杆菌。
杜克雷嗜血杆菌对温度较敏感,43-44℃以上温度则失去抵抗能力,20分钟即可死亡。对42℃抵抗性稍强,但4小时死亡。在37℃中可活6-8天,10-20℃之间7-10天后可死亡,在此温度中较大肠菌、葡萄球菌抵抗力弱,较淋球菌强,对寒冷抵抗力较强,5℃中可生存1周,冻干时可能生存1年。对干燥的抵抗性弱。在人工培养中温度是发育的重要因素。
嗜血杆菌属在试管内繁殖需要X因子与V因子,X因子存在血液中耐热性物质氧化血红素,V因子具有易热性,在血液中是脱氢酶的辅酶,杜克雷嗜血杆菌对X因子需要性高,不需要V因子,将纯培养物注射入家兔可引起面部溃疡性病灶,人感染后,不能产生持久免疫力。以杜克雷嗜血杆菌悬液为抗原,患者注射后1周,皮肤试验呈阳性,一旦出现,可持续数年,甚至持续终身。
诊断依据
Barber对本病诊断作如下建议,并作为诊断标准:
①阴部溃疡,一个或多个;
②暗视野显微镜检查,梅毒螺旋体阴性;
③梅毒血清试验阴性;
④病损潜行性边缘取材涂片,用瑞氏染色未发现朵诺凡小体(肉芽肿荚膜杆菌),而用革兰氏染色可找到短小的革兰氏阴性杆菌。
发病机理
机体感染杜克雷嗜血杆菌后,主要靠多形核白细胞参与清除软下疳局部细菌。其他的免疫途径是否参与杀灭细菌作用尚不清楚,如补体激活的替代途径,补体是否参与了杀灭血清中的杜克雷嗜血杆菌,这个过程可能主要是抗体依赖性的。补体起到增强抗体的作用。细菌对反应的敏感由脂多糖的组成决定。
临床确诊为软下疳时,杜克雷菌抗原免疫印迹吸附试验可以检测到血清IgG、IgM抗体增多。通过血清抗体试验表明存在特异性抗原决定簇。用杜克雷菌作兔皮内感染实验可引起很强的抗体反应,其抗体合成的经过与其他细胞感染相同,而人类产生抗体反应的过程比动物的多。在整个感染过程中存在有可识别的重要共同抗原。在感染的某一时期存在可识别的共同抗原及个体相关抗原。总之杜克雷菌的免疫应答对宿主本身所起的作用仍不清楚,因为人类可以重复感染。很明显不存在完全保护性免疫。
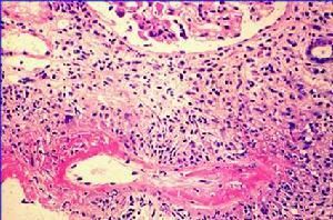
病理改变
中央为溃疡,溃疡边缘表皮增生,溃疡下方可见三个炎症带,垂直排列,分别为:溃疡基底层:多形核白细胞为主,混有红细胞,纤维素及坏死组织。中层有许多新生的血管,组织水肿明显,有嗜中性白细胞、淋巴细胞及组织细胞浸润,可见较多的纤维母细胞。深层为淋巴细胞、浆细胞弥漫性浸润,血管周围明显。用Giemsa及Gram染色,有时可在浅层或深层中查见杜克雷嗜血杆菌。
流行病学
本病在热带、亚热带地区及低层社会的黑人中发病较多,是发展中国家人生殖器溃疡形成的主要原因。近年来一些西方发达国家如美国、加拿大等发现有软下疳的暴发,主要发生在贫穷的、异性恋的人群中,这些人常与娼妓有性接触,其中男性软下疳病人50%以上是与娼妓接触传染的。
中国在20世纪40年代以前发病率较高,如在东北地区门诊病例统计占10%~13.6%,60年代以后经大力防治几乎绝迹,80年代起,本病在中国一些地区又有发现,但仍属于少见之症,监测系统报道的软下疳病例逐年增加,1993年7例,1994年30例。可能部分病例仅靠涂片检查结果诊断,而未能用培养法作病原诊断。
本病常见于男性,女性相当少见,男女之比约为9∶1,可能由于发生于阴道及宫颈的损害不引起症状,难以发现之故。
最近研究发现,软下疳是促进人类免疫缺陷病毒(HIV-1)在异性间传播的重要辅助因子,认为控制和消灭软下疳是减少HIV-1在异性间传播的有效措施之一。
临床表现
本病的最突出特点是溃疡疼痛剧烈。感染后潜伏期平均2-3天。大部分病例约在1周以内,有时少数病例可在数周以后发病。女性比男性的症状一般较轻,潜伏期也长,症状比较隐秘
典型软下疳:
初发为外生殖器部位的炎性小丘疹。24-48小时后,迅速形成脓疱,3-5天后脓疱破溃后形成溃疡,境界清楚。溃疡呈圆形或椭圆形,边缘为锯齿状,其下缘有潜浊现象,周围呈炎症红晕。溃疡底部有黄色猪油样脓苔,并覆盖很多脓性分泌物,剥去脓苔可见出血。疼痛明显。触诊柔软称此为软下疳。
软下疳数目在最初仅为1-2个,因可自家接种,故可在附近又出现新生病灶。软下疳大部分发生在外阴部位,男性多在冠状沟、包皮、龟头、包皮系带处。女性多发生在阴唇、外阴、后联合。阴部以外如手指、口唇、舌等部位也可见到。
病损处所属的淋巴腺肿大。并且50%的患者约于数日到两周间形成溃疡。损伤多居一侧(尤其左侧),男性比女性较多见。称此为横痃。
软下疳横痃呈急性化脓性腹股沟淋巴腺炎,多为单侧,局部红肿热痛,横痃溃破后呈鱼嘴样外翻,俗称“鱼口”。近年由于及早使用了有效治疗剂,控制了感染进一步发展,使典型的软下疳横痃已不多见。
不典型的软下疳
表现有一过性软下疳(transient chancroid):软下疳损害小,4-6天内消失,但在2周左右之后,发生腹股沟淋巴结病,易误诊为性病性淋巴肉芽肿或生殖器疱疹;隆起性软下苷,溃疡底部为凹陷下疳,肉芽增生形成隆起状。毛囊性软下疳,呈针头大的小型下疳,在外阴部毛囊深部形成溃疡。矮小软下疳,是非常小的损害,很像生殖器疱疹所致的糜烂,但有不规则的基底和刀切样出血性边缘。侵蚀性软下疳,溃疡进行速度较快,并向深部发展,在数日内阴茎或阴唇有大片坏死和脱落,从而常引起大出血,此种下疳多由并发其他细菌混合感染所致。匍行性软下疳是长而窄的线性溃疡。
异型软下疳:一过性软下疳(transientchancroid):软下疳损害小,4-6天内消失,但在2周左右之后,发生腹股沟淋巴结病,易误诊为性病性淋巴肉芽肿或生殖器疱疹。
隆起性软下苷:溃疡底部为凹陷下疳,肉芽增生形成隆起状。
毛囊性软下疳:呈针头大的小型下疳,在外阴部毛囊深部形成溃疡。
矮小软下疳:是非常小的损害,很像生殖器疱疹所致的糜烂,但有不规则的基底和刀切样出血性边缘。
侵蚀性软下疳:溃疡进行速度较快,并向深部发展,在数日内阴茎或阴唇有大片坏死和脱落,从而常引起大出血,此种下疳多由并发其他细菌混合感染所致。
软下疳合并感染:
可同时合并其他性病感染,如梅毒、生殖器疱疹、淋病、衣原体感染、艾滋病等,使临床表现复杂。
疾病治疗
治疗原则
及时、足量、规则。在治愈前,应避免性生活。在随诊期间,性生活应使用避孕套。
治疗方式
(一)全身治疗:
1.有效的抗菌素包括有红霉素族:红霉素、利君沙,罗红霉素,阿齐霉素;
2.头孢类:头孢曲松钠等,喹诺酮类:环丙沙星、氧氟沙星、莫西沙星等;剂量和疗程见下表:
(二)局部治疗:
1.未破溃的丘疹或结节,外用鱼石脂,红霉素软膏。
2.溃疡,用1/5000高锰酸钾或双氧水冲洗,然后,外用红霉素软膏,因软下疳易于自身接种,应做好局部清洁消毒。
3.淋巴脓肿;穿刺应在远处正常皮肤刺入脓腔,抽吸脓液或根据病情注射药物。
(三)合并HIV感染的处理:
这类患者溃疡愈合更慢,疗程要更长,短程治疗往往失败,需应用两种以上抗生素联合用药。有条件时应从病灶中分离杜克雷嗜血杆菌作抗生素敏感试验。治疗3-7天后,应对患者进行再次检查,若治疗有效,3日内溃疡症状即有改善,7日内溃疡即可见明显愈合。否则,应考虑:诊断是否正确,是否同时合并另一种STDs病原体感染;是否同时有HIV感染;或杜克雷嗜血杆菌是否对抗生素耐药。通常,溃疡愈合的时间和溃疡大小有关,较大的溃疡可能需要两周才能愈合。
(四)手术治疗
晚期已形成组织破坏、瘢痕及畸形者,可行外科手术治疗。对包茎病人应先用以上药液浸泡或湿敷,治愈后应行包皮切除术。
辅助检查
梅毒的检查按照其检测的方法分为以下几种:
一、细菌学检查:嗜血杆菌属革兰氏阴性杆菌,培养条件显示多形性特征,易染性,此菌无芽孢,无运动。
1.镜检:从软下疳开放性溃疡取材涂片标本染色,杜克雷嗜血菌易检出,未破溃病灶从脓肿或横痃中穿刺,取其穿刺液涂片标本染色也易检出,更为典型,用美蓝染色或革兰氏染色等镜检用10×100倍油浸观察。
2.培养检查:软下疳菌分离培养较为困难,故在采取病变材料时应注意取软下疳溃疡边缘下贮留脓汁或穿刺横痃抽吸的脓汁作为检体,或再用生理盐水充分洗涤溃疡底面后,再用生理盐水湿棉签涂抹标本送化验室培养。
国际上软下疳的标准培养基一种是GCHGS(Hammondgonococcal media),由淋球菌琼脂培养基加牛血红蛋白、胎牛血清、万古霉素及纤维素、氨基酸等组成;另外一种是MHHb(Muller-Hinton琼脂,由Muller-Hinton琼脂、马血、万古霉素及其他培养成分组成),上述两种培养基可以同时应用,以提高阳性率。
菌落常于接种后24-48小时形成。色灰黄而透亮,直径约为1-2mm。从菌落处取材作革兰染色阴性,为成双的短杆菌,成链状排列。同时应作生化反应以鉴定之。主要有:氧化酶试验弱阳性,过氧化酶试验阴性,非卟啉试验阴性,硝酸盐还原试验阳性,碱性磷酸酶试验阳性。
杜克雷嗜血杆菌的培养不仅有助于诊断,而且可确定分离的细菌对抗生素的敏感性,目前已分离出耐抗生素的杜克雷嗜血杆菌。
二、血清学诊断软下疳
感染杆克雷嗜血杆菌能产生抗体,通过血清学检查,不论是补体结合,凝集反应以及荧光抗体间接法等均可证实,但尚未推广,目前认为IgM抗体敏感性为74%,IgG抗体敏感性为94%,其特异性分别为84%和64%。
三、PCR检测杜克雷嗜血杆菌
鉴别诊断:本病常被误诊为生殖器疱疹,生殖器疱疹在疱疹阶段出现多发性,成群生性水疱,检菌阴性,其次与硬下疳作鉴别时,需注意梅毒的硬下疳较硬,脓性分泌物少,无痛。以及除外其他急性外阴性溃疡等。
预防常识:软下疳中国少见,诊本病注意排除梅毒和生殖器皰疹所引起的溃疡。本病按上述治疗方案一周可痊愈,否则应考虑有无其他感染,应再进一步检查。
鉴别诊断
应与梅毒硬下疳,LGV,生殖器疱疹,急性女阴溃疡,Behcet综合征,结核性溃疡及腹股沟肉芽肿等鉴别。
1.梅毒硬下疳 。
2.性病性淋巴肉芽肿(LGV) 。
3.生殖器疱疹 由HSV-2感染引起,损害为集簇性丘疱疹,小水疱及糜烂,分泌物呈浆液性,伴灼热感和疼痛,愈后常复发。
4.急性女阴溃疡 无性接触史,常见于少女及未婚妇女,易反复发作,常伴口腔阿弗他溃疡及小腿结节性红斑,溃疡分泌物涂片可查见粗大杆菌。
5.Behcet综合征 多见于青年女性,可伴口腔溃疡,眼病变,皮肤结节性红斑和针刺反应阳性。
6.结核性溃疡 也可见于龟头,炎症轻微,自觉症状轻,慢性经过,表面脓液稀而少,损害可查见结核杆菌,活检组织像呈结核性结构。
7.腹股沟肉芽肿 损害为增生性肉芽肿性溃疡,触之易出血,淋巴结症状轻微,甚至不发生,自觉不痛,取肉芽组织碎片作印片或涂片用Giemsa或Wright,染色,可在增大的单核细胞内查见Donovan小体。
8.硬下疳 。
并发症
软下疳患者如不及时发现和治疗可发生各种并发症,常见的有下列几种:
1、软下疳性淋巴结炎
又称软下疳性横痃或痛性横痃,50%-60%患者可以发生,多在软下疳溃疡出现后数天到了周内发生。以腹股沟多见,常为单侧性,开始为局部淋巴结肿大,有轻微压痛,然后可逐步累及邻近多个淋巴结,并产生淋巴结周围炎,彼此可融合成较大的团块。局部皮肤可红肿,触之有波动感,最后可破溃而形成溃疡。此时患者可有明显的疼痛,还可伴有发烧,常需2-4周才逐步愈合形成疤痕。
2、包皮炎和嵌顿包茎
当患者在包皮内发生软下疳时,可因炎症水肿而造成包皮炎性包茎,包皮内脓汁积潴可引起龟头炎。如果包皮高度水肿不能翻转时则可引起嵌顿包茎。
3、尿道瘘
由于阴茎部软下疳可造成阴茎毁坏性溃疡而侵犯及尿道,可引起排尿剧痛,最后可导致尿道狭窄,排尿困难。
4、继发感染
在感染软下疳的同时少数病人还可继发感染梅毒和性病性淋巴肉芽肿等,可以增加损害的严重性,此时可发生混合性下疳,往往难以治疗。
注意事项
1、由于软下疳的临床表现缺乏特异性,试验室检查特异性和敏感性不高,所以软下疳的诊断应综合考虑,应首先排除生殖器溃疡中最常见的疾病。对缺乏相应试验室检查设备的地区,在排除其他性病的条件下,可给予试验治疗。
2、杜克雷嗜血杆菌耐药性发展很快,注意选用敏感抗菌素。
3、软下疳患者的性伴如果在患者出现症状之前10天内,与患者有过性接触,无论有无此病的症状,都必须进行检查和治疗。
4、在治愈前,应避免性生活。在随诊期间,性生活应有防护(使用避孕套)。
软下疳预防
与梅毒,淋病一样,单用预防制剂(即弱蛋白银,甘汞软膏)而不使用阴茎套则是无效的,避免性混乱,对性混乱者进行检查并予以相应治疗是很重要的;患病治愈前绝对不能性交。
早期诊断,早期治疗,彻底治愈患者可减少传染源,由于可能存在无症状的Ducrey嗜血杆菌携带者,许多学者推荐对即使缺乏临床表现的接触者也应进行预防性治疗,加强教育,正确对待性生活,切实禁止嫖娼卖淫活动可切断本病的传播途径。
该文章由作者:【浙江下雪】发布,本站仅提供存储、如有版权、错误、违法等相关信息请联系,本站会在1个工作日内进行整改,谢谢!
