单核细胞增多症也被称为“接吻病”,是由EB病毒(EBV)所致的急性自限性传染病,通常是通过唾液、飞沫散播。临床特征为发热,咽喉炎,淋巴结肿大,外周血淋巴细胞显着增多并出现异常淋巴细胞,嗜异性凝集试验阳性,感染后体内出现抗EBV抗体。青少年及年轻成年人较易发生(12到40岁)。典型症状包括:发烧、喉咙痛(有时严重)、食欲丧失、疲倦、淋巴腺肿大,通常位于颈部、腋下或鼠蹊部、脾脏肿大、肝脏肿大、黄疸,黄皮肤黄眼睛(有时)、头痛、普遍性全身疼痛。容易感染本病的危险因子包括压力过大、因疾病免疫力降低、疲倦或过度工作及生活环境拥挤等。

病毒详述
EBV属疱疹病毒群,1964年由Epstein、Barr等从非洲恶性淋巴瘤的细胞培养中首先发现。病毒呈球形,直径约180nm,衣壳表面附有脂蛋白包膜,核心为双股DNA。
本病毒对生长要求极为特殊,故病毒分离较困难。但在培养的淋巴细胞中用免疫荧光或电镜法可检出本病毒。EBV有嗜B细胞特性并可作为其致裂原,使B淋巴细胞转为淋巴母细胞。
EBV有五种抗原成分,即病毒衣壳抗原(VcA)、膜抗原(MA)、早期抗原(EA)、补体结合抗原(可溶性抗原S)和核抗原(EBNA)。各种抗原均能产生相应的抗体。 eb病毒为本病的病原,电镜下eb病毒的形态结构与疱疹病毒组的其他病毒相似,但抗原性不同。eb病毒为dna病毒,完整的病毒颗粒由类核、膜壳、壳微粒、包膜所组成。类核含有病毒dna;膜壳是20面体立体对称外形由管状蛋白亚单位组成;包膜从宿主细胞膜衔生而来。eb病对生长要求极为特殊,仅在非洲淋巴瘤细胞、传单患者血液、白血病细胞和健康人脑细胞等培养中繁殖,因此病毒分离困难。
eb病毒有6种抗原成分,如膜壳抗原、膜抗原、早期抗原(可再分为弥散成分d和局限成分r)、补体结合抗原(即可溶性抗原s)、eb病毒核抗原、淋巴细胞检查的膜抗原(lymphacyte detected membrance antigen lydma),前5种均能产生各自相应的抗体;lydma则尚未测出相应的抗体。
BE病毒(EBV)属疱疹病毒群。病毒呈球形,直径约180nm,衣壳表面附有脂蛋白包膜,核心为双股DNA。病毒对生长要求极为特殊,仅在非洲淋巴瘤细胞、患者血液、白血病细胞和健康人脑细胞等培养中繁殖,因此病毒分离困难。但在培养的淋巴细胞中用免疫荧光或电镜法可检出该病毒。
1、传染:带毒者及病人为本病的传染源。
2、传播途径:80%以上患者鼻咽部有EB病毒存在,经口鼻密切接触为主要传播途径,也可经飞沫及输血传播。
3、易感人群:人群普遍易感。
发病原理
本病的发病原理尚未完全阐明。病毒进入口腔后可能先在咽部淋巴组织内增殖,后侵入血液导致病毒血症,继之累及淋巴系统和各组织器官。由于B淋巴细胞表面具有EBV受体,故极易受累。B淋巴细胞感染后增生活跃,其抗原性发生改变,后者可引起T淋巴细胞防御反应,形成细胞毒性效应细胞直接破坏受染的B细胞。这种细胞免疫反应是本病病程呈自限性的重要因素。B细胞受破坏后释放自身抗原,激发自身抗体的产生,从而引起一系列并发症。
本病的主要病理特征是淋巴网状组织的良性增生。肝脏有各种单核细胞浸润,库普弗细胞增生及局灶性坏死。脾肿大,脾窦及脾髓内充满变形淋巴细胞,质脆、易出血,甚至破裂。淋巴结肿大,不形成脓肿,以副皮质区(T淋巴细胞)增生显著。全身其它脏器如心肌、肾、肾上腺、肺、皮肤及中枢神经系统等均可有充血、水肿和淋巴细胞浸润。
流行病学
本病分布广泛,多呈散发性,亦可引起流行。病毒携带者和病人是本病的传染源。经口密切接触为主要传播途径,飞沫传播虽有可能,但并不重要。发病以15~30岁的年龄组为多,6岁以下多呈不显性感染。全年均有发病,似以晚秋初冬为多。一次得病后可获较持久的免疫力。
并发症
(一)呼吸系统 约30%患者可并发咽部细菌感染。5%左右患者可出现间质性肺炎。
(二)泌尿系统并发症 部分患者可出现水肿、蛋白尿、尿中管型及血尿素氮增高等类似肾炎的变化,病变多为可逆性。
(三)心血管系统并发症 并发心肌炎者约占6%,心电图示T波倒置、低平及P-R间期延长。
(四)神经系统并发症 可出现脑膜炎、脑膜脑炎、周围神经病变,发生率约为1%。 其它并发症有脾破裂、溶血性贫血、胃肠道出血、腮腺肿大等。
临床表现
本症可能通过直接接触和飞沫传染。好发于儿童和青壮年。潜伏期成人为33~39天,儿童10天左右。起病缓慢。常有头痛、乏力等前驱症状。发热为无定型,可以短暂微热,也可高热,体温高达40~41℃,热型为不规则性或稽留热,可持续2周以上。少数不发热。常伴有寒战,肌肉酸痛或多汗。发病几天后出现咽峡炎,表现弥漫性膜性扁桃体炎,软、硬腭联合部可有出血点。淋巴结肿大,约见70%病例,全身淋巴结均可被累及。呈中等硬度、无压痛,不粘连不化脓,消退缓慢。大约50%病例有中度脾肿大。也可累及肝脏。
少数出现神经系统、肾炎、肺炎、心肌炎及紫癜等症状。10%~15%病人在发病后4~6天出现皮疹,通常为斑疹、斑丘疹、麻疹样、荨麻疹样及猩红热样皮疹。皮疹分布于躯干、上肢、面、前臂及双下肢。皮疹多在几天内消退。病程数周。可以复发。有人提出慢性型病程为3个月至4年不等 。
(一)发热:高低不一,多在38~40℃之间。热型不定。热程自数日至数周,甚至数月。可伴有寒战和多汗。中毒症状多不严重。可呈弛张、不规则或稽留型,热程自数日至数周。病程早期可有相对缓脉。
(二)淋巴结肿大:见于70%的患者。全身淋巴结皆可被累及,以颈淋巴结肿大最为常见,腋下及腹股沟部次之。胸廓、纵隔、肠系膜淋巴结偶亦可累及。直径1~4cm,质地中等硬,分散,无明显压痛,不化脓、双侧不对称等为其特点。消退需数周至数月。肠系膜淋巴结肿大引起腹痛及压痛。
(三)咽痛 虽仅有半数患者主诉咽痛,但大多数病例可见咽部充血,少数患者咽部有溃疡及伪膜形成,可见出血点。齿龈也可肿胀或有溃疡。喉和气管的水肿和阻塞少见。
(四)肝脾肿大 仅10%患者出现肝肿大,肝功能异常者则可达2/3。少数患者可出现黄疸,但转为慢性和出现肝功能衰竭少见。50%以上患者有轻度脾肿大,偶可发生脾破裂。检查时应轻按以防脾破裂。
(五)皮疹 约10%左右的病例在病程1~2周出现多形性皮疹,为淡红色斑丘疹,亦可有麻疹样、猩红热样、荨麻疹样皮疹,多见于躯干部,一周内隐退,无脱屑。比较典型者为粘膜疹,表现为多发性针尖样瘀点,见于软、硬腭的交界处。
(六)神经系统症状见于少数严重的病例。可表现为无菌性脑膜炎,脑炎及周围神经根炎等。90%以上可恢复。神经系统极少被累及,表现为急性无菌性脑膜炎、脑膜脑炎、脑干脑炎、周围神经炎等,临床上可出现相应的症状。脑脊液中可有中等度蛋白质和淋巴细胞增多,并可见异常淋巴细胞。预后大多良好,病情重危者痊愈后也多不留后遗症。
本病的病程自数日至6个月不等,但多数为1~3周,偶有复发,复发时病程较短,病情也轻。少数病例的病程可迁延数月,甚至数年之久,称之为慢性活动性EB病毒感染。
疾病检查
一、实验室检查
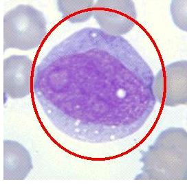
外周血象。血象改变是本病的重要特征。早期白细胞总数多在正常范围或稍低,发病1周后,白细胞总数增高,一般为(10—20)×10/L,高者可达60×10/L。单核细胞增多为主,占60%以上。异常淋巴细胞增多10%以上或其他绝对值超过1.0×10/L时具有诊断意义,血小板计数常见减少,可能与病毒直接损伤及免疫复合物作用有关。
二、血清学检查
(1)嗜异凝集试验:嗜异性凝集试验(heterophil agglutination test)是一标准的诊断性试验,其原理为患者血清中常含有属于IgM的嗜异性抗体可与绵羊或马红细胞凝集。该试验在病程早期即呈阳性,约为40%,第二、三周阳性率分别可达60%及80%以上,恢复期迅速下降。正常人、血清病患者、淋巴网状细胞瘤、单核细胞白血病及结核病等患者血清中也可出现嗜异性抗体,可用豚鼠肾和牛红细胞吸收试验加以鉴别,一般认为经豚鼠肾吸收后的滴定效价在1:64以上者具有诊断意义。嗜异性凝集试验的阳性率达80%~90%,其原理是病人血清中常含有属于IgM啫异性抗体,可和绵羊红细胞或马红细胞凝集。抗体在体内持续的时间平均为2~5个月。较晚出现啫异性抗体者常常恢复较慢。少数病例(约10%)的嗜异性凝集试验始终阴性,大多属轻型,尤以儿童患者为多。
(2)EBV抗体检测:用免疫荧光法和酶免疫吸附法检测血清中VCA IgA和EA IgG,VCA IgM是新近EBV感染的标志,EA IgG是近期感染或EBV复制活跃的标志,均具有诊断价值。正常人、血清病患者以及少数患淋巴网状细胞瘤、单核细胞白血病、结核病等患者,其嗜异性凝集试验也可呈阳性结果(除血清病外,抗体效价均较低),但可用豚鼠肾和牛红细胞吸收试验加以鉴别。
(3)EBV抗原检测:Southern印迹法可检测整合的EBV DNA,原位杂交科确定口咽上皮细胞中EBV的存在聚合酶链反应可敏感、快速、特异地检出标本中的EBV DNA。
诊断
诊断标准
传染性单核细胞增多症是由EB病毒感染引起的传染病,以发热、咽痛、淋巴结肿大、脾肿大和外周血淋巴细胞增多并出现异型淋巴细胞为特征。检测血清抗EB病毒IgM阳性可确诊。
成人传染性单核增多症临床表现多种多样,可累及多个脏器,容易误诊和漏诊,如由于早期有发热、头痛、扁桃体炎表现,易误诊为上感、化脓性扁桃体炎;当突出表现为淋巴结肿大、发热时易误诊为淋巴结炎、淋巴瘤;当有乏力、纳差、尿黄,化验肝功转氨酶明显升高时易误诊为肝炎;当有发热、头痛、肾功能损害、血小板减少、白细胞总数升高时可误诊为流行性出血热等;另外由于该病皮疹多种多样,也可误诊为猩红热、风疹等,导致该病早期不能得到及时诊治,病程延长,病情加重。
造成该病误诊的原因可能包括:(1)临床医生问诊及查体不认真细致,仅根据某些特点轻易得出结论。(2)有些医生缺乏对本病的认识,既往工作中从未见过该病。(3)对外周血白细胞结果不仔细分析,仅看到总数的升高,未注意淋巴细胞比例。(4)检验科医师对末梢血异型淋巴细胞认识不足,未能正确识别异型淋巴细胞。
因此,对于有发热、淋巴结肿大、咽痛伴外周血淋巴细胞增多、有异型淋巴细胞、肝功损害的患者,应高度警惕传染性单核细胞增多症,及时进行特异性检查以明确诊断。
( 一)流行病学资料 应注意当地流行状况,是否曾赴流行地区出差旅游。周围有无类似患者,以便协助诊断。
(二)临床表现 主要为发热、咽痛、颈部及其它部位淋巴结肿大,肝脾肿大,多形性皮疹,但本病临床表现变异较大,散发病例易误诊,尤其在无实验室检查条件的情况下,诊断困难较大。
鉴别诊断
巨细胞病毒病的临床表现酷似本病,该病肝、脾肿大是由于病毒对靶器官细胞的作用所致,传染性单核细胞增多症则与淋巴细胞增殖有关。巨细胞病毒病中咽痛和颈淋巴结肿大较少见,血清中无嗜异性凝集素及EB病毒抗体,确诊有赖于病毒分离及特异性抗体测定。本病也需与急性淋巴细胞性白血病相鉴别,骨髓细胞学检查有确诊价值。儿童中本病尚需与急性感染性淋巴细胞增多症鉴别,后者多见于幼儿,大多有上呼吸道症状,淋巴结肿大少见,无脾肿大;白细胞总数增多,主要为成熟淋巴细胞,异常血象可维持4~5周;嗜异性凝集试验阴性,血清中无EB病毒抗体出现。此外本病尚应与甲型病毒性肝炎和链球菌所致的渗出性扁桃体炎鉴别。
动态变化
目的研究儿童传染性单核细胞增多症(IM)不同时期外周血T细胞亚群CD3^+、CD4^+、CD8^+细胞的改变及其变化规律。方法在病程不同时期采集30例IM患儿的外周血,肝素抗凝,采用流式细胞术方法分别检测了30例IM患儿急性期、病程1月、病程3月、病程6月及正常对照组外周血淋巴细胞CD3^+、CD4^+、CD8^+细胞表达率。结果1IM急性期CD4^+(14.84±5.03%)及CD4/CD8(0.25±0.13%)明显降低,CD3^+(82.55±5.49%)、CD8^+(66.17±8.10%)明显增高,与其余各组比较均存在显著性差异(P〈0.001)。
随时间推移及感染的控制CD4^+及CD4/CD8细胞逐渐升高,但病程1月(CD4^+:27.89±6.04%,CD4/CD8:0.66±0.16%)与病程3月(CD4^+:29.49±4.49%,CD4/CD8:0.76±0.20%)比较无显著性差异(P〉0.05),与病程6月(CD4^+:32.81±6.79%,CD4/CD8:0.93±0.31%)及对照组(CD4^+:65.04±6.50%,CD4/CD8:1.18±0.35%)比较,均存在显著性差异(P〈0.001);3病程1月CD3^+(76.25±8.33%),CD8^+(46.35±9.43%)与病程3月CD3^+(71.20±5.32%),CD8^+(37.76±8.28%)、病程6月CD3^+(67.98±8.01%),CD8^+(33.96±7.37%)及对照组CD3^+(65.04±6.50%),CD8^+(30.72±16.51%)比较均存在显著性差异(P〈0.001);
实验各组病程3月与病程6月CD3^+、CD4^+、CD8^+及CD4^+/CD8^+比较均无显著性差异(P〉0.05),但3月组与对照组比较均存在显著性差异(P〈0.01);5实验各组病程病程6月CD3^+、CD4^+、CD8^+及CD4^+/CD8^+与对照组比较均无显著性差异(P〉0.05)。结论IM急性期CD3^+、CD8^+明显增高,CD4^+及CD4/CD8明显降低,随着时间推移及感染控制,CD3^+、CD8^+逐渐降低,CD4^+及CD4/CD8逐渐增高,6月CD3、CD4、CD8的表达及CD4^+/CD8^+达正常水平。
中医概念
辩证分型
1、外感风邪症状:咳嗽流涕,咽红疼痛,乳蛾肿大,上有白糜,身热起伏,恶心,腹部不适,舌苔白,脉浮数。
证候分析:外感时邪疫毒,首先犯肺,肺失宣肃,故咳嗽流涕。邪热循经上熏,故乳蛾肿大,上有白糜。邪正交争,营卫不和,故身热起伏。进而邪毒犯胃,故见恶心,腹部不适。苔白,脉浮数,均示病邪尚在表。
2、阴虚火旺症状:身热不解,口渴引饮,食欲不振,低热盗汗,肝脾肿大,舌质暗红,苔薄白,脉细。
证候分析:邪毒内盛,伤及阴分,故身热不解,口渴引饮。阴虚内热,则低热盗汗。热灼血脉,血瘀不行,故见肝脾肿大。
3、热毒炽盛症状:壮热不退,口渴烦躁,皮下出血,或见血尿,舌质红,苔黄,脉数。
证候分析:热毒炽盛于内,故壮热不退,口渴引饮。内扰神明,故烦躁不宁。邪热迫血妄行,外溢肌肤,内渗下焦,则皮下出血或血尿。舌质红,苔黄,脉数为热毒炽盛之象。
4、湿热蕴积症状:面目发黄,恶心呕吐,纳呆食少,大便不实,肝脾肿大,苔白腻,脉儒数。
证候分析:禀赋不足,脾虚生湿,复感外邪疫毒,两者相合,湿热作祟,湿热蕴结肝胆,肝失条达,胆汁外溢,故两目发黄。肝木侮脾,故恶心呕吐,纳果食少,大便不实。湿热耗伤阴血,血瘀不行,则肝脾肿大。苔白腻,脉儒数,为湿热之象。
分型治疗
1、外感风邪治则:疏风清热利咽。
主方:银翘散加减。
加减:乳蛾白点,加射干10克、马勃6克;身热起伏,加白薇10克、知母10克。
主方分析:本证属外感时邪热毒,病尚在表,银翘散疏风清热利咽,以清解邪毒。
处方举例:
银花10克 连翘10克 板蓝根30克 柴胡6克 黄芩10克 白花蛇舌草15克 茅根30克赤芍10克 丹皮10克 甘草6克
2、阴虚火旺治则:养阴清热。
主方:当归六黄汤加减。
加减:盗汗,加牡蛎30克(先煎)、五味子6克;口渴,加芦根30克、石斛10克;肝脾肿大,加鳖甲煎丸10克(包煎)。
主方分析:本证为热毒伤阴,阴虚火旺之证,究其本,重在清热,故用黄芩、黄连、黄柏清三焦之热,配以生地、熟地、玄参以滋养阴分,加以当归、黄芪养血益气,共奏养阴清热之功。
处方举例:
当归10克 黄连3克 黄柏10克 熟地10克 五味子6克 生地10克 黄芩10克 黄芪10克 玄参10克 甘草6克
3、热毒炽盛治则:清热解毒,凉血止血。
主方:清营汤加减。
加减:皮下出血,加赤芍10克、丹皮10克;血尿,加大小蓟草各10克、茅根30克。
主方分析:本方为时邪热毒深入营分,迫血妄行,故以清营汤清热凉血止血。方用犀角、生地黄清热凉血;银花、连翘清热解毒;黄连、竹叶情心泻火;丹参清心凉血、活血散瘀;加玄参、麦冬养阴生津。
处方举例:
水牛角30克(先煎)生地10克 玄参10克竹叶6克 银花10克 连翘10克 黄连3克丹参10克 麦冬10克 甘草6克
4、湿热蕴积治则:清热利湿。
主方:甘露消毒丹加减。
加减:肝脾肿大,加鳖甲15克、丹参10克;恶心呕吐,加姜竹茹6克、姜半夏10克。
主方分析:本证起因为湿热蕴积,病势缠绵,当用甘露消毒丹清热利湿辟秽。方用黄芩、连翘、射干、贝母清热解毒化痰;藿香、豆蔻、石菖蒲芳香化湿浊;滑石、木通、茵陈清利湿热;薄荷辛凉透达;射于清利咽喉。
处方举例:
茵陈10克 山栀10克 黄芬芩克 石菖蒲10克 泽泻10克 木通10克 连翘10克 蔻仁6克(后下)藿香10克 甘草6克
治疗措施
本病的治疗为对症性,疾病大多能自愈。急性期特别是并发肝炎时应卧床休息。抗生素对本病无效,仅在咽部、扁桃体继发细菌感染时可加选用,一般以采用青霉素G为妥,疗程7~10天。若给予氨苄青霉素,约95%患者可出现皮疹,通常在给药后1周或停药后发生,可能与本病的免疫异常有关,故氨苄青霉素在本病中不宜使用。
有认为甲硝唑及氯林可霉素对本病咽峡炎症可能有助,提示合并厌氧菌感染的可能,但氯林可霉素亦可导致皮疹。肾上腺皮质激素对咽部及喉头有严重病变或水肿者有应用指征,可使炎症迅速消退,及时应用尚可避免气管切开。激素也可应用于有中枢神经系统并发症、血小板减少性紫癜、溶血性贫血、心肌炎、心包炎等。
应随时警惕脾破裂发生的可能,及时确诊,迅速补充血容量,输血和进行脾切除,常可使患者获救。
阿昔洛韦(Acyclovir)及其衍生物在体外试验中有拮抗EB病毒的作用,但此类药物不必常规地应用于一般的传染性单核细胞增多症患者,惟有伴口腔毛白斑病的艾滋病者以及有充分证据说明是慢性进行性EB病毒感染者可考虑应用此类制剂。
预防措施
目前尚无有效预防措施。急性期患者应进行呼吸道隔离。其呼吸道分泌物及痰杯应用漂白粉或煮沸消毒。因病毒血症可长达数月,故病后至少6个月不能参加献血。疫苗尚在研制中。
该文章由作者:【搜尼玛】发布,本站仅提供存储、如有版权、错误、违法等相关信息请联系,本站会在1个工作日内进行整改,谢谢!
